Enfermedad de Chagas: un desafío multidimensional
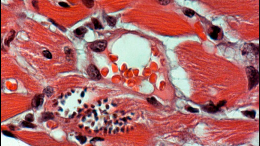
Especialistas del CONICET realizan diversos aportes para prevenir infecciones, tratar a los pacientes y erradicar el vector de esta dolencia endémica en la región. Imagen de microscopía de tejido cardíaco infectado con T. cruzi. Créditos: Gentileza de María del Pilar Aoki. Foto de Triatoma infestans, vector de la enfermedad de Chagas. Créditos: Gentileza del grupo EduChagas, Instituto de Investigaciones Biológicas y Tecnológicas (IIBYT, CONICET-UNC). Anterior Siguiente El 14 de abril se celebra el Día Mundial de la Enfermedad de Chagas. La fecha, que conmemora la primera identificación del parásito causante de la enfermedad, fue instaurada en mayo de 2019 por la Organización Mundial de la Salud (OMS) para concientizar sobre esta problemática sanitaria desatendida. Esta enfermedad, potencialmente mortal, es provocada por el microorganismo Trypanosoma cruzi, que se transmite al ser humano a través de insectos conocidos en Argentina como vinchucas, transfusiones sanguíneas, trasplantes de órganos, consumo de alimentos contaminados o durante la gestación y el trabajo de parto. Hasta hace poco, la enfermedad de Chagas era considerada un problema de salud estrictamente latinoamericano, ya que se vinculaba directamente con la distribución y densidad de varias especies de triatominos (vinchucas) en las llamadas zonas endémicas. Actualmente, las migraciones humanas han transportado el T. cruzi hacia regiones no endémicas, lo que ha transformado el perfil de la problemática -ahora urbana y global, además de rural y latinoamericana-. Se estima que entre 6 y 7 millones de personas se encuentran infectadas en el mundo. Debido a su carácter silencioso, menos del 10% de los infectados con T. cruzi recibe anualmente un diagnóstico oportuno y el tratamiento correspondiente. Según la OMS, a largo plazo, hasta un 30% de los enfermos crónicos desarrolla alteraciones cardíacas y hasta un 10% sufre alteraciones digestivas, neurológicas o una combinación de ellas. María del Pilar Aoki, investigadora del CONICET en el Centro de Investigaciones en Bioquímica Clínica e Inmunología (CIBICI, CONICET-UNC), subraya: “Hay evidencias de que el tratamiento actual no es efectivo cuando está establecida la lesión cardíaca. Además, es muy largo, requiere altas dosis y frecuentemente genera efectos adversos”. El grupo que dirige, en colaboración con otros institutos del CONICET, estudia posibles estrategias terapéuticas para la etapa crónica, anterior al establecimiento de la cardiomiopatía, basadas en sistemas portadores que permitan aumentar la eficacia del tratamiento y disminuir la dosis y la frecuencia de la administración. Recientemente, Aoki y su equipo obtuvieron un importante subsidio internacional para realizar un estudio pionero sobre las respuestas del tejido cardíaco a la infección con T. cruzi. “En trabajos previos, demostramos que los cardiomiocitos (células del músculo cardíaco) participan activamente en la respuesta inmunológica al parásito. Nuestro sistema inmune es responsable de defendernos, pero también de producir inflamación crónica en las enfermedades cardiovasculares. Como el tejido cardíaco tiene una importante función fisiológica, por distintos mecanismos desactiva a las células de la defensa permitiendo al parásito alojarse por años en el corazón, y favoreciendo la inflamación. Ahora buscamos avanzar en el conocimiento de otros mecanismos inmunológicos no explorados previamente”, comenta la científica. Las vinchucas y los insecticidas, una carrera de armamentos Debido a la ausencia de una vacuna y de un tratamiento eficaz para las formas crónicas de la enfermedad de Chagas, el control químico de los vectores es la principal herramienta para reducir su incidencia. Este método, basado en el rociado de las viviendas y construcciones aledañas con formulaciones insecticidas, ha logrado interrumpir la transmisión vectorial del T. cruzi en muchos países de Latinoamérica. Sin embargo, el uso indiscriminado de insecticidas ha propiciado el surgimiento y propagación de poblaciones resistentes en distintas especies de insectos vectores de relevancia sanitaria. Patricia Lobbia, investigadora del CONICET en la Unidad Operativa de Vectores y Ambiente (UnOVE, CeNDIE, ANLIS-Malbrán), señala que desde la década de los ‘80 se utilizan insecticidas piretroides para controlar a los triatominos, ya que requieren una dosis cien veces menor que los organofosforados y presentan baja toxicidad en mamíferos. Sin embargo, a partir del año 2000 se detectaron altos niveles de resistencia a piretroides en Argentina y Bolivia, constituyéndose en una de las principales causas de las fallas en el control químico. La científica explica el desarrollo de la resistencia como un proceso microevolutivo: “Dentro de una población de insectos, algunos individuos tienen mutaciones que confieren resistencia a los insecticidas. A su vez, cuando se aplica insecticida, aquellos individuos que portan esas variantes genéticas sobreviven y las transmiten a la siguiente generación. Las campañas de control constan de dos ciclos: se realiza vigilancia y rociado en las viviendas positivas a triatominos; luego de seis meses, se vuelven a evaluar y, si hay insectos vivos, generalmente se rocía insecticida de nuevo. Esto podría profundizar la selección de aquellos individuos sobrevivientes, portadores de las mutaciones resistentes”. Según Lobbia, otros factores ambientales, como el uso de piretroides en la actividad agropecuaria en los alrededores, potencian los mecanismos de evolución de la resistencia. Estudios realizados en la última década sobre Triatoma infestans (el principal vector de T. cruzi en el país) demostraron la evolución de resistencia a insecticidas en varias zonas de la distribución geográfica de la especie, fundamentalmente en el norte de Salta y el noroeste de Chaco. Esto puso en relieve la necesidad urgente de un plan de investigación e implementación de estrategias para el monitoreo y manejo de la resistencia. “En 2019, los especialistas del país se dieron cuenta de que la poca información sobre la resistencia al control químico de otros vectores de interés sanitario estaba disgregada y no se tenía en cuenta desde la Dirección de Epidemiología. Entonces comenzó a gestarse la Red Argentina de Vigilancia de la Resistencia a los Plaguicidas de uso en Salud Pública (RAReP), de la que formamos parte desde la UnOVE-CeNDIE”, comenta Lobbia. Esta entidad, finalmente reglamentada en 2021, está conformada por un comité científico-técnico que incluye organismos representados por los ministerios de Salud y de Ambiente y Desarrollo Sostenible de la Nación, la ANLIS-Malbrán, el CONICET, la Administración Nacional de Medicamentos, Alimentos y Tecnología Médica (ANMAT), y diferentes universidades nacionales. “El objetivo principal de la









